K-Wurf Beauty-Dodi
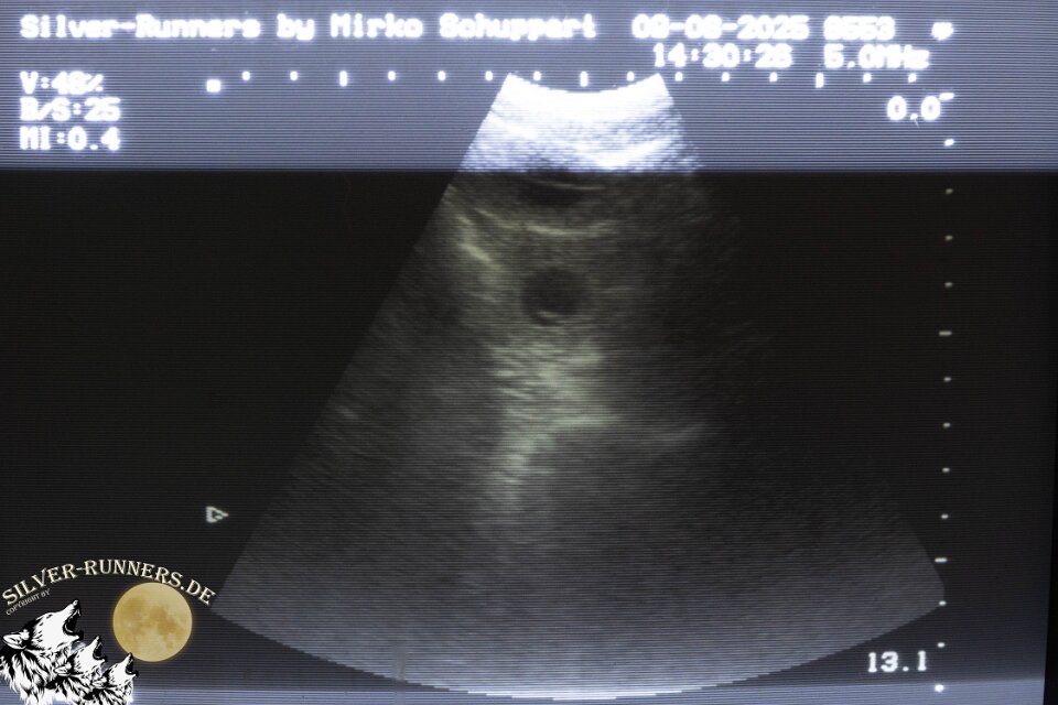
Ultraschallbilder
1
2
3
4
5
6
7
8
9
10
11
Nächstes Album:
16-9-25 1er Tag